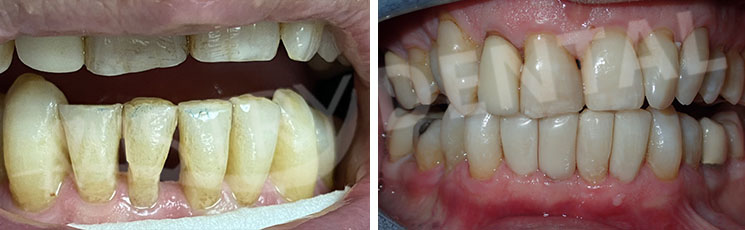
Smile Gallery
At Mistry Dental we pride ourselves in taking great care of our patient’s overall health and self-confidence.
Contact us today if you have a special event coming up, or if you’d like to discuss options for improving your smile.
At Mistry Dental we pride ourselves in taking great care of our patient’s overall health and self-confidence.
Contact us today if you have a special event coming up, or if you’d like to discuss options for improving your smile.